Why AAA screening at 65 really matters
This year, NHS England North West shared the story of Liverpool entertainer Rob Shaw, who was invited for abdominal aortic aneurysm (AAA) screening when he turned 65. He felt completely well, but a short ultrasound scan picked up a small bulge in the main artery in...
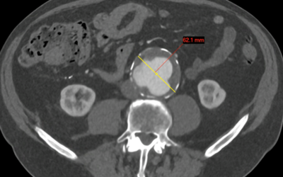
Abdominal Aortic Aneurysm (AAA) Screening
An aneurysm refers to an abnormally wide (dilated) blood vessel. This commonly affects the aorta, the main blood vessel in the tummy and chest. An Abdominal Aortic Aneurysm (AAA) affects around 3% of people over the age of 50. Why is an AAA important? A ruptured AAA...
Launching Our One-Stop Varicose Vein Clinic at The Pinewoods Clinic, Crosby
We’re pleased to share that our first one-stop varicose vein clinic at The Pinewoods Clinic in Crosby is now up and running! Alongside Myra, an Accredited Clinical Vascular Scientist, we’ve set up a streamlined service offering same-day assessments and treatment...
Liverpool Vascular Surgery Clinic proudly supports the NHS patient decision aid
This is an excellent evidence based resource for patients to model their individual options for managing their AAA. Please contact Liverpool Vascular Clinic for further advice. ( Remote Consultations available) LInk to pdf:...
Specialist Vascular Nurse Kate Donovan presenting at the Vascular society AGM
Liverpool Vascular Clinic Specialist Vascular Nurse Kate Donovan presenting at the Vascular society AGM. Kate was stressing the importance of effective hubs within Vascular networks.
Recruited first patient to NIHR Trial
Congratulations to Simon Neequaye and colleagues at the Liverpool University Hospitals NHS Foundation Trust. The team have recruited the first patient in the #ARIA study, an NIHR sponsored trial examining the application of Artificial intelligence based image fusion...
Appointment to British Society of Endovascular Therapy (BSET)
We are delighted to announce the appointment of Simon Neequaye as Secretary of the British Society of Endovascular Therapy (BSET). BSET was established to promote scientific research, education and training in endovascular treatment and procedures for...






