by admin | Nov 25, 2025 | News
This year, NHS England North West shared the story of Liverpool entertainer Rob Shaw, who was invited for abdominal aortic aneurysm (AAA) screening when he turned 65. He felt completely well, but a short ultrasound scan picked up a small bulge in the main artery in...
by admin | Apr 8, 2025 | News
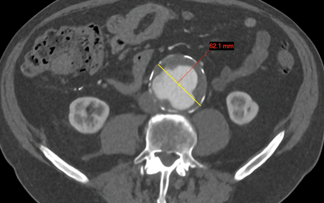
An aneurysm refers to an abnormally wide (dilated) blood vessel. This commonly affects the aorta, the main blood vessel in the tummy and chest. An Abdominal Aortic Aneurysm (AAA) affects around 3% of people over the age of 50. Why is an AAA important? A ruptured AAA...
by admin | Apr 8, 2025 | News
We’re pleased to share that our first one-stop varicose vein clinic at The Pinewoods Clinic in Crosby is now up and running! Alongside Myra, an Accredited Clinical Vascular Scientist, we’ve set up a streamlined service offering same-day assessments and treatment...
by admin | Sep 29, 2024 | News
This is an excellent evidence based resource for patients to model their individual options for managing their AAA. Please contact Liverpool Vascular Clinic for further advice. ( Remote Consultations available) LInk to pdf:...
by admin | Nov 30, 2022 | News
Liverpool Vascular Clinic Specialist Vascular Nurse Kate Donovan presenting at the Vascular society AGM. Kate was stressing the importance of effective hubs within Vascular networks.
by admin | Jun 29, 2022 | News
Congratulations to Simon Neequaye and colleagues at the Liverpool University Hospitals NHS Foundation Trust. The team have recruited the first patient in the #ARIA study, an NIHR sponsored trial examining the application of Artificial intelligence based image fusion...
Recent Comments